profile

Dentiste Mustapha GHOUATI de Casablanca

Expert en métier

Un chirurgien dentiste, également appelé dentiste1 ou plus simplement dentiste, est un professionnel de la santé autorisé à exercer la dentisterie. Il est titulaire d'un Diplôme National de Chirurgie Dentaire ou de Docteur en Médecine Dentaire dans la plupart des pays et est responsable de la prévention, du diagnostic et du traitement des anomalies et maladies congénitales ou acquises (réelles ou imaginaires) de la bouche, des dents, des mâchoires et des tissus adjacents.

Laissez-nous vous guider vers un sourire confiant et parfait. Améliorez la beauté naturelle de vos dents avec nos solutions.

  • Name : Mustapha GHOUATI
  • Phone : 0522 82 42 13
  • Mobile : 0660 90 68 85
  • Email : dr.mustapha.ghouati@gmail.com
  • Website : www.dr-mustapha-ghouati.com/
  • Adresse : Hay amal 1 N° 66 bd abdellah sanhaji Casablanca

service

Dentiste Mustapha GHOUATI de Casablanca

Un service professionnel

Votre dentiste à Casablanca

Le Cabinet Dentaire est situé dans la capitale économique et regroupe toutes les spécialités de la dentisterie en un seul lieu. Notre approche se concentre sur la prestation d'une large gamme de traitements personnalisés dans un établissement chaleureux et convivial. Notre passion du métier et la recherche de l'excellence, dans le respect de l'intégrité professionnelle, sont des atouts qui nourrissent notre raison d'être au quotidien.

Changez votre sourire, changez votre vie et ayez un look naturel en même temps. Avec nos mesures d'hygiène strictes, vous aurez toutes les raisons de venir chez nous. Notre technologie orthodontique utilise des coques transparentes ou invisibles qui sont adaptées individuellement à chaque patient et permettent une correction orthodontique par un mouvement dentaire progressif.Reserver Votre Soin,Tel Fixe: 0522 82 42 13

Services dentaires

Orthodontie

Traitement visant à corriger la "mauvaise" posture des dents et de la mâchoire en déplaçant les dents dans leur ensemble, dans le but d'optimiserLire la suite.

Prothèse

Pour reconstruire une dent usée après une carie ou une fracture, et pour remplacer une ou plusieurs dents manquantes, nous utilisons des prothèses Lire la suite.

Chirurgie

Avant de parler de chirurgie dentaire, parlons de la chirurgie elle-même. C'est la branche de la médecine qui consiste à effectuer une chirurgie Lire la suite.

Implantologie

Un implant dentaire est une prothèse artificielle dans laquelle des vis ou des cylindres en titane sont insérés dans la mâchoire supérieure Lire la suite.

Pedodontie

Nous traitons les dents des enfants comme des adultes. Les dents de lait sont plus fragiles et plus sujettes à la carie.Avec une exposition Lire la suite.

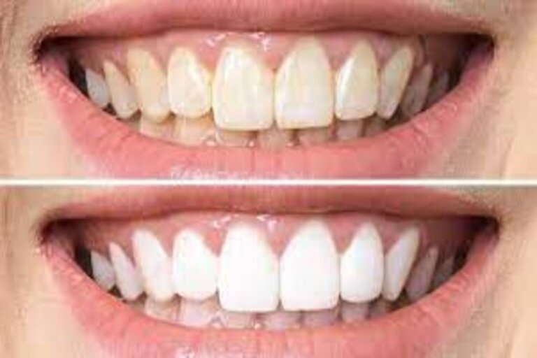
Blanchiment

Le blanchiment des dents est une procédure médicale "indolore" qui consiste à appliquer un gel de peroxyde sur les dents Lire la suite.

Detartrage

Les dents sont exposées à la formation de plaque (tartre), que le seul brossage manuel quotidien ne suffit pas à éliminerLire la suite.

Smile design

Pour répondre aux besoins esthétiques et maintenir des dents aussi saines que possible, les facettes sont la solution Lire la suite.

Fiches informations

Bénéficier d’une large gamme de soins et services pour l’hygiène et l’esthétique dentaire.Un examen dentaire initial est essentiel pour s'assurer qu'il n'y a pas de caries, de gingivite ou de déchaussement des dents en développement. Dans le cas contraire, ces affections doivent être traitées avant toute intervention orthodontique.
Administrer une anesthésie locale. La gencive est coupée et dégagée pour accéder au site osseux où l'implant est prévu d'être placé. Un trou est percé dans l'os de la mâchoire pour y visser l'implant dentaire. Une vis de couverture est ensuite placée sur l'implant pour permettre au tissu gingival autour de l'implant de guérir.La procédure est réalisée dans des conditions d'asepsie parfaites.
Le sourire fait partie du tout. Son harmonie est donc liée à la forme du visage et à l'équilibre entre les différents éléments qui le composent. Il n'y a donc pas de sourire typique.Pour le patient, le but du traitement demandé est de maintenir ou de rétablir cette bonne relation entre les dents, les gencives et le visage.
La carie dentaire est une maladie infectieuse d'origine bactérienne qui détruit progressivement les dents par déminéralisation des tissus durs. Il progresse toujours de l'extérieur de la dent vers l'intérieur, formant une carie. Pour guérir les caries, la dent est laissée au repos et la carie est enlevée. Après cette première étape, la dent présente un espace creux qui doit être désinfecté afin de pouvoir la reconstruire en toute sécurité à l'abri des micro-organismes et ainsi éviter tout risque de récidive de la carie.

Conseils

Un dentiste multi-spécialités s'occuper de tout Vos dents en ont besoin.Esthétique dentaire,design smile Orthodontie Pédodontie,Soins et Prothèses dentaires

Vous aurez toutes les bonnes raisons de venir chez nous.Cadre chaleureux et approche personnalisée.Demandez votre rendez-vous par téléphone , nous répondrons pour vous prendre en charge.

De bonnes techniques de brossage et une bonne alimentation sont nécessaires pour avoir des dents belles et saines à la fin du traitement.La brosse utilisée doit être à poils doux.

Le dentifrice doit contenir du fluor pour renforcer l'émail des dents, ce qui vous protège de la carie dentaire. Les bains de bouche antibactériens ne doivent pas être utilisés quotidiennement.

resume

Resume – Personal Info

Awesome & Creative Resume For You

Experience

  • Web Developer 2011 - 2013
    Name of Company

    Lorem ipsum dolor sit amet, consectetur adipiscing Vivamus sit amet ligula non lectus cursus egestas. Cras erat lorem, fringilla quis sagittis in, sagittis inNam leo tortor Nam leo tortor Vivamus.

  • Front-End Developer 2010 - 2011
    Name of Company

    Lorem ipsum dolor sit amet, consectetur adipiscing Vivamus sit amet ligula non lectus cursus egestas. Cras erat lorem, fringilla quis sagittis in, sagittis inNam leo tortor Nam leo tortor Vivamus.

Education

  • Master of Engineering 2011 - 2013
    Name of University

    Lorem ipsum dolor sit amet, consectetur adipiscing Vivamus sit amet ligula non lectus cursus egestas. Cras erat lorem, fringilla quis sagittis in, sagittis inNam leo tortor Nam leo tortor Vivamus.

  • Bachelor of Engineering 2010 - 2011
    Name of University

    Lorem ipsum dolor sit amet, consectetur adipiscing Vivamus sit amet ligula non lectus cursus egestas. Cras erat lorem, fringilla quis sagittis in, sagittis inNam leo tortor Nam leo tortor Vivamus.

Awards

  • Graphic & Art Direction 2013 - 2014
    Name of Institute

    Emi Phasellus congue auctor risuspon, eget males. Pellentes que un imperdiet, odio quis orn sollicitud. Sed vitae lectus elementum mauris.

  • Design & Art Direction 2012 - 2013
    Name of Institute

    Emi Phasellus congue auctor risuspon, eget males. Pellentes que un imperdiet, odio quis orn sollicitud. Sed vitae lectus elementum mauris.

Download my resume

Download My Resume

Designs skills

Photoshop
95%
Illustrateur
90%
Indesign
65%
Flash
35%

Programming skills

Wordpress
85%
Joomla
75%
Drupal
60%
Php
89%

Office skills

MS Excel
85%
MS Word
95%
Powerpoint
60%
SharePoint
40%

Language skills

English
90%
French
80%
Spanish
50%
Swiss
60%

Hobbies and interests

Reading
95%
Biking
85%
football
90%
travel
80%

Client reference

  • “Nulla consequat massa quis enim. Donec pede justo, fringilla vel, aliquet nec, vulputate eget, arcu. In enim justo, rhoncus ut, imperdiet a, venenatis vitae, justo.”

    Shelby Endicott, Assistant Coordinator
  • “Nulla consequat massa quis enim. Donec pede justo, fringilla vel, aliquet nec, vulputate eget, arcu. In enim justo, rhoncus ut, imperdiet a, venenatis vitae, justo.”

    Emily Madison, Secretary
  • “Nulla consequat massa quis enim. Donec pede justo, fringilla vel, aliquet nec, vulputate eget, arcu. In enim justo, rhoncus ut, imperdiet a, venenatis vitae, justo.”

    Chrissie Walter, Co-Founder

portfolio

  • Filter
  • All
  • Logo
  • Posters
  • Photography
  • Webdesign
img01

Project Name

posters, webdesign

img02

Project Name

Photography

img03

Project Name

photography, posters

img04

Project Name

webdesign

img05

Project Name

posters

img06

Project Name

posters, photography

img09

Project Name

photography

img10

Project Name

photography, webdesign

img12

Project Name

Photography

Detail Project Title

Project Description

Donec porttitor metus non tellus venenatis viverra. Sed sodales dui in dolor imperdiet, vel blandit sapien sagittis. Nulla facilisi. Aliquam at finibus mi, non finibus est. Suspendisse viverra pretium neque ut tempus. Aenean et nulla non felis elementum volutpat non quis risus. Vivamus ac dapibus risus. Donec interdum suscipit elementum. Maecenas nec leo mauris. Proin a ipsum lacus. Aliquam erat volutpat.

Nunc ac tellus dui. Cras eu consequat eros, at gravida magna. Phasellus pharetra tellus eget quam commodo, ac tincidunt nunc pellentesque. Ut sit amet ultrices libero. Maecenas luctus lorem sit amet lobortis faucibus. Pellentesque molestie urna et arcu aliquet, at sollicitudin nibh dignissim.

Sed sit amet mi fermentum, lacinia velit sit amet, blandit risus. Sed efficitur sit amet neque et laoreet. Etiam sed bibendum ipsum, id pellentesque diam.

Detail Project Title

Project Description

Donec porttitor metus non tellus venenatis viverra. Sed sodales dui in dolor imperdiet, vel blandit sapien sagittis. Nulla facilisi. Aliquam at finibus mi, non finibus est. Suspendisse viverra pretium neque ut tempus. Aenean et nulla non felis elementum volutpat non quis risus. Vivamus ac dapibus risus. Donec interdum suscipit elementum. Maecenas nec leo mauris. Proin a ipsum lacus. Aliquam erat volutpat.

Nunc ac tellus dui. Cras eu consequat eros, at gravida magna. Phasellus pharetra tellus eget quam commodo, ac tincidunt nunc pellentesque. Ut sit amet ultrices libero. Maecenas luctus lorem sit amet lobortis faucibus. Pellentesque molestie urna et arcu aliquet, at sollicitudin nibh dignissim.

Sed sit amet mi fermentum, lacinia velit sit amet, blandit risus. Sed efficitur sit amet neque et laoreet. Etiam sed bibendum ipsum, id pellentesque diam.

Detail Project Title

Project Description

Donec porttitor metus non tellus venenatis viverra. Sed sodales dui in dolor imperdiet, vel blandit sapien sagittis. Nulla facilisi. Aliquam at finibus mi, non finibus est. Suspendisse viverra pretium neque ut tempus. Aenean et nulla non felis elementum volutpat non quis risus. Vivamus ac dapibus risus. Donec interdum suscipit elementum. Maecenas nec leo mauris. Proin a ipsum lacus. Aliquam erat volutpat.

Nunc ac tellus dui. Cras eu consequat eros, at gravida magna. Phasellus pharetra tellus eget quam commodo, ac tincidunt nunc pellentesque. Ut sit amet ultrices libero. Maecenas luctus lorem sit amet lobortis faucibus. Pellentesque molestie urna et arcu aliquet, at sollicitudin nibh dignissim.

Sed sit amet mi fermentum, lacinia velit sit amet, blandit risus. Sed efficitur sit amet neque et laoreet. Etiam sed bibendum ipsum, id pellentesque diam.

Detail Project Title

Project Description

Donec porttitor metus non tellus venenatis viverra. Sed sodales dui in dolor imperdiet, vel blandit sapien sagittis. Nulla facilisi. Aliquam at finibus mi, non finibus est. Suspendisse viverra pretium neque ut tempus. Aenean et nulla non felis elementum volutpat non quis risus. Vivamus ac dapibus risus. Donec interdum suscipit elementum. Maecenas nec leo mauris. Proin a ipsum lacus. Aliquam erat volutpat.

Nunc ac tellus dui. Cras eu consequat eros, at gravida magna. Phasellus pharetra tellus eget quam commodo, ac tincidunt nunc pellentesque. Ut sit amet ultrices libero. Maecenas luctus lorem sit amet lobortis faucibus. Pellentesque molestie urna et arcu aliquet, at sollicitudin nibh dignissim.

Sed sit amet mi fermentum, lacinia velit sit amet, blandit risus. Sed efficitur sit amet neque et laoreet. Etiam sed bibendum ipsum, id pellentesque diam.

Detail Project Title

Project Description

Donec porttitor metus non tellus venenatis viverra. Sed sodales dui in dolor imperdiet, vel blandit sapien sagittis. Nulla facilisi. Aliquam at finibus mi, non finibus est. Suspendisse viverra pretium neque ut tempus. Aenean et nulla non felis elementum volutpat non quis risus. Vivamus ac dapibus risus. Donec interdum suscipit elementum. Maecenas nec leo mauris. Proin a ipsum lacus. Aliquam erat volutpat.

Nunc ac tellus dui. Cras eu consequat eros, at gravida magna. Phasellus pharetra tellus eget quam commodo, ac tincidunt nunc pellentesque. Ut sit amet ultrices libero. Maecenas luctus lorem sit amet lobortis faucibus. Pellentesque molestie urna et arcu aliquet, at sollicitudin nibh dignissim.

Sed sit amet mi fermentum, lacinia velit sit amet, blandit risus. Sed efficitur sit amet neque et laoreet. Etiam sed bibendum ipsum, id pellentesque diam.

Detail Project Title

Project Description

Donec porttitor metus non tellus venenatis viverra. Sed sodales dui in dolor imperdiet, vel blandit sapien sagittis. Nulla facilisi. Aliquam at finibus mi, non finibus est. Suspendisse viverra pretium neque ut tempus. Aenean et nulla non felis elementum volutpat non quis risus. Vivamus ac dapibus risus. Donec interdum suscipit elementum. Maecenas nec leo mauris. Proin a ipsum lacus. Aliquam erat volutpat.

Nunc ac tellus dui. Cras eu consequat eros, at gravida magna. Phasellus pharetra tellus eget quam commodo, ac tincidunt nunc pellentesque. Ut sit amet ultrices libero. Maecenas luctus lorem sit amet lobortis faucibus. Pellentesque molestie urna et arcu aliquet, at sollicitudin nibh dignissim.

Sed sit amet mi fermentum, lacinia velit sit amet, blandit risus. Sed efficitur sit amet neque et laoreet. Etiam sed bibendum ipsum, id pellentesque diam.

Detail Project Title

Project Description

Donec porttitor metus non tellus venenatis viverra. Sed sodales dui in dolor imperdiet, vel blandit sapien sagittis. Nulla facilisi. Aliquam at finibus mi, non finibus est. Suspendisse viverra pretium neque ut tempus. Aenean et nulla non felis elementum volutpat non quis risus. Vivamus ac dapibus risus. Donec interdum suscipit elementum. Maecenas nec leo mauris. Proin a ipsum lacus. Aliquam erat volutpat.

Nunc ac tellus dui. Cras eu consequat eros, at gravida magna. Phasellus pharetra tellus eget quam commodo, ac tincidunt nunc pellentesque. Ut sit amet ultrices libero. Maecenas luctus lorem sit amet lobortis faucibus. Pellentesque molestie urna et arcu aliquet, at sollicitudin nibh dignissim.

Sed sit amet mi fermentum, lacinia velit sit amet, blandit risus. Sed efficitur sit amet neque et laoreet. Etiam sed bibendum ipsum, id pellentesque diam.

Detail Project Title

Project Description

Donec porttitor metus non tellus venenatis viverra. Sed sodales dui in dolor imperdiet, vel blandit sapien sagittis. Nulla facilisi. Aliquam at finibus mi, non finibus est. Suspendisse viverra pretium neque ut tempus. Aenean et nulla non felis elementum volutpat non quis risus. Vivamus ac dapibus risus. Donec interdum suscipit elementum. Maecenas nec leo mauris. Proin a ipsum lacus. Aliquam erat volutpat.

Nunc ac tellus dui. Cras eu consequat eros, at gravida magna. Phasellus pharetra tellus eget quam commodo, ac tincidunt nunc pellentesque. Ut sit amet ultrices libero. Maecenas luctus lorem sit amet lobortis faucibus. Pellentesque molestie urna et arcu aliquet, at sollicitudin nibh dignissim.

Sed sit amet mi fermentum, lacinia velit sit amet, blandit risus. Sed efficitur sit amet neque et laoreet. Etiam sed bibendum ipsum, id pellentesque diam.

Detail Project Title

Project Description

Donec porttitor metus non tellus venenatis viverra. Sed sodales dui in dolor imperdiet, vel blandit sapien sagittis. Nulla facilisi. Aliquam at finibus mi, non finibus est. Suspendisse viverra pretium neque ut tempus. Aenean et nulla non felis elementum volutpat non quis risus. Vivamus ac dapibus risus. Donec interdum suscipit elementum. Maecenas nec leo mauris. Proin a ipsum lacus. Aliquam erat volutpat.

Nunc ac tellus dui. Cras eu consequat eros, at gravida magna. Phasellus pharetra tellus eget quam commodo, ac tincidunt nunc pellentesque. Ut sit amet ultrices libero. Maecenas luctus lorem sit amet lobortis faucibus. Pellentesque molestie urna et arcu aliquet, at sollicitudin nibh dignissim.

Sed sit amet mi fermentum, lacinia velit sit amet, blandit risus. Sed efficitur sit amet neque et laoreet. Etiam sed bibendum ipsum, id pellentesque diam.

Detail Project Title

Project Description

Donec porttitor metus non tellus venenatis viverra. Sed sodales dui in dolor imperdiet, vel blandit sapien sagittis. Nulla facilisi. Aliquam at finibus mi, non finibus est. Suspendisse viverra pretium neque ut tempus. Aenean et nulla non felis elementum volutpat non quis risus. Vivamus ac dapibus risus. Donec interdum suscipit elementum. Maecenas nec leo mauris. Proin a ipsum lacus. Aliquam erat volutpat.

Nunc ac tellus dui. Cras eu consequat eros, at gravida magna. Phasellus pharetra tellus eget quam commodo, ac tincidunt nunc pellentesque. Ut sit amet ultrices libero. Maecenas luctus lorem sit amet lobortis faucibus. Pellentesque molestie urna et arcu aliquet, at sollicitudin nibh dignissim.

Sed sit amet mi fermentum, lacinia velit sit amet, blandit risus. Sed efficitur sit amet neque et laoreet. Etiam sed bibendum ipsum, id pellentesque diam.

Detail Project Title

Project Description

Donec porttitor metus non tellus venenatis viverra. Sed sodales dui in dolor imperdiet, vel blandit sapien sagittis. Nulla facilisi. Aliquam at finibus mi, non finibus est. Suspendisse viverra pretium neque ut tempus. Aenean et nulla non felis elementum volutpat non quis risus. Vivamus ac dapibus risus. Donec interdum suscipit elementum. Maecenas nec leo mauris. Proin a ipsum lacus. Aliquam erat volutpat.

Nunc ac tellus dui. Cras eu consequat eros, at gravida magna. Phasellus pharetra tellus eget quam commodo, ac tincidunt nunc pellentesque. Ut sit amet ultrices libero. Maecenas luctus lorem sit amet lobortis faucibus. Pellentesque molestie urna et arcu aliquet, at sollicitudin nibh dignissim.

Sed sit amet mi fermentum, lacinia velit sit amet, blandit risus. Sed efficitur sit amet neque et laoreet. Etiam sed bibendum ipsum, id pellentesque diam.

Detail Project Title

Project Description

Donec porttitor metus non tellus venenatis viverra. Sed sodales dui in dolor imperdiet, vel blandit sapien sagittis. Nulla facilisi. Aliquam at finibus mi, non finibus est. Suspendisse viverra pretium neque ut tempus. Aenean et nulla non felis elementum volutpat non quis risus. Vivamus ac dapibus risus. Donec interdum suscipit elementum. Maecenas nec leo mauris. Proin a ipsum lacus. Aliquam erat volutpat.

Nunc ac tellus dui. Cras eu consequat eros, at gravida magna. Phasellus pharetra tellus eget quam commodo, ac tincidunt nunc pellentesque. Ut sit amet ultrices libero. Maecenas luctus lorem sit amet lobortis faucibus. Pellentesque molestie urna et arcu aliquet, at sollicitudin nibh dignissim.

Sed sit amet mi fermentum, lacinia velit sit amet, blandit risus. Sed efficitur sit amet neque et laoreet. Etiam sed bibendum ipsum, id pellentesque diam.

blog

contact

Let’s be social

Send a Message

other way

  • 44 E. 8th Street Suite 300 Holland.
  • +1-888-999-7776
  • +1-888-999-7776
  • info@loremips.com
  • www.loremips.com

Layout Color Switcher

Choose one color below to change main layout color. You can apply more styles in theme options.

Skins Colors